Zdjęcia wykonywane najnowszą technologia dostępna na rynku. Zdjęcie pantomograficzne i cefalometryczne Carestream 8100 & zdjęcia punktowe Carestream 2200
Więcej..Higienizacja jamy ustnej jest serią profilaktycznych zabiegów, wykonywanych przez wykwalifikowane higienistki stomatologiczne.
Dental monitoring polega na regularnym przesyłaniu przez pacjenta w trakcie leczenia skanów wewnatzrustnych uzębienia, Skany wykonywane są smartfonem umieszczonym w urządzeniu scan box pro przy uzyciu intuicyjnej dedykowanej aplikacji. Trafiaja do lekarza prowazdacego i higienistki ortodontycznej, dzięki czemu mamy cały czas wgląd w spotepy leczenia pacjenta. Bez względu na wiek pacjenta i wade zgryzu każdy pacjent użytkuje aplikacje DM. Dla wielu pacjentów, szczególnie dojezdzajacych z daleka do gabinetu, lub opiekunow pacjentów małoletnich to bardzo szybka opcja rozwiazywania problemów awaryjnych z aparatami i ma ogromne znaczenie w utrzymaniu prawidłowej higieny jamy ustnej pacjenta. Na podstawie obserwcaji higieny jamy ustnej możemy wspólnie z higienistkami w łatwy sposób zbudować program higienizcayjny . W stomatoogii Janczukowcz bardz tego pilnujemy i od czasu wprowadzenia DM liczba pacjentów z nieprawidłową higiena jamy ustnej zmalała, a ci , ktoryzkilkukrotnie otzrymują raport po sknaownaiu z informacją o złej higienie jamy ustnej, sami zgłąszaja potrzebę higinizacji lub my ich o tym informujemy. Szybkie wychywtywanie awarii w leczeniu alignerami i aparatami stałymi to kluczowy aspekt DM. Wszytskei awarie są raportowane bezpośrednio po skanie , dzięki czemu nasz zespol ma mozlwiosc szybkiej reakcji i odpowiedzi. To samo dotyczy wszelkich pytan i intsrukcji jakei mają pacjnenci w trakcie użytkowania aparatów, jesteśmy z nimi w kotkacie prawie 24h na dobę. W swojej praktyce zawsze dąże do tego aby leczenie było dla pacjent anajbardziej komfortowe i jak najkrótsze, z jak namnijesza liczbą wizyt w gabinecie, dlatego stosujemy najnowsze narzadzia cyfrowej ortdoncji do leczenia wad zgryzu.
Zęby przebarwione lub przyciemnione przez żywność, palenie tytoniu, wiek, leki lub urazy
można rozjaśnić i rozjaśnić za pomocą nieinwazyjnego procesu zwanego wybielaniem zębów.
Wybielanie zębów lub wybielanie odnosi się po prostu do dowolnego procesu,
który sprawi, że zęby będą wyglądać na bielsze. Chociaż dostępnych bez recepty
dostępnych jest wiele opcji wybielania zębów, najskuteczniejszymi i
najbezpieczniejszymi systemami wybielania zębów są te, które są dostępne i wykonywane pod opieką profesjonalnego zespołu stomatologicznego w gabinecie.
Każde wskazanie do wykonania takiego zabiegu, musi być zweryfikowane przez lekarza denstystę, aby nie doszło do powikłań.
Profesjonalny system wybielania dentystycznego oferuje wyższe stężenie składników wybielających i dostarcza je do zębów w najbardziej efektywny sposób, aby osiągnąć optymalne rezultaty.
Wybielanie zębów w Gabinecie dentystycznym to jedyny bezpieczny sposób
aby osiągnąć bielsze zęby nawet o kilka odcieni.
Zabieg jest niemal
bezbolesny, a procedura rekomendowana nawet dla osób z nadwrażliwością
zębów. System stosowany w naszym Gabinecie wybiela zęby a jednocześnie
korzystnie wpływa na szkliwo, dzięki zawartemu w
składzie nano-Hydroksyapatytowi (nHAp). Substancją wybielającą jest 6%
nadtlenek wodoru połączony z nHAp. w wyniku zmieszania tych dwóch
składników powstaje piana, która przenikając głęboko do kanalików
zębinowych, odbudowuje uszkodzone szkliwo. Po zabiegu zęby są bielsze i
zdrowsze. Hydroksyapatyt jest głównym składnikiem szkliwa zębów, około
97%. wytwarzany sztucznie w postaci nanocząsteczek, dzięki odpowiedniemu
stosunkowi wapnia do fosforu, wykazuje identyczne właściwości jak jego
naturalny odpowiednik. Przenikając głęboko do kanalików zębiny łączy sie
a minerałem obecnym w zębach - remineralizuje szkliwo i w ten sposób
minimalizuje bolesna nadwrazliwość.
Po zabiegu zęby są jaśniejsze a ich
powierzchnia gładka i błyszcząca. Procedura wybielanie jest bardzo
prosta i zamyka sie w trzech krokach. Pierwszy to zabezpieczenie jamy
ustnej i nałożenie preparatu ochronnego na dziąsła. Kolejnym etapem jest aplikacja na zeby
preparatu usuwającego przebarwienia. Proces nakładania aktywnej piany
wybielającej jest kilkukrotnie powtarzany w celu uzyskania jak
najlepszego efektu. Etapem końcowym jest usunięcie zabezpieczenia jamy
ustnej oraz aplikacja serum na kilka minut. Co
najmnij 24 godziny pozabiefu naley utrzymyc tzw "białą dietę", czyli
unikac produktow zawierajacyh jjakiekolwiek barwiniki. Efekt zabiegu
moze utrzymywać się od 2 do 3 lat. By dłużej cieszyć sie pięknym
uśmiechem należy unikać spożywania dużej ilości kawy, herbaty oraz
czerwonego wina. Na kolor zębów ma także wpływ
higiena jamy ustnej.
Regularne zabiegi profesjonalnej higienizacji
pomagają również utrzymać efekt pięknego uśmiechu.
Aby właściwie leczyć naszych pacjentów, musimy posiadać diagnostyczne zdjęcia rentgenowskie jamy ustnej. Dlatego wszyscy nowi pacjenci potrzebują serii zdjęć rentgenowskich całej jamy ustnej. Doskonale zdajemy sobie sprawę, że nikt nie chce być narażony na promieniowanie rentgenowskie, nawet w minimalnej dawce. Dysponujemy najnowocześniejszym sprzętem rentgenowskim, w całości cyfrowym, a także ultranowoczesnymi, ołowianymi fartuchami chroniącymi tarczycę. Zapewnia to naszym pacjentom absolutnie najniższą dawkę promieniowania i najdokładniejsze zdjęcia.
Zbieramy szczegółowy wywiad medyczny. Bierzemy pod uwagę to, czy pacjentka jest w ciąży, czy przeszła radioterapię itp. Dobra stomatologia zaczyna się od doskonałej informacji, która prowadzi do doskonałej diagnozy i pięknego uśmiechu dla każdego.Dokładna wczesna diagnostyka może pomóc w zapobieganiu chorobom zębów i skutecznym ich leczeniu.
Każde badanie trwa 15-30 minut i obejmuje ocenę wewnątrzustną, zewnątrzustną, radiologiczną.
Zostaniesz przebadany pod kątem chorób zębów i dziąseł. Promienie rentgenowskie pomagają
nam wykryć ukryte ubytki, utratę kości oraz infekcje.
Staramy się być miejscem które dba o to, aby kontrola stomatologiczna przebiegała w sposób komfortowy i relaksujący. Rozumiemy, że niektórzy ludzie nie chodzą do dentysty ze względu na fobię dentystyczną lub obawę, że coś może być nie tak. Jeśli tak jest i rzeczywiście masz ubytek, wyleczymy Twój ząb delikatnie i ostrożnie, abyśmy mogli zająć się Twoimi problemami zdrowotnymi, nie powodując dalszych podrażnień.
Istnieje bezpośredni związek pomiędzy wizytą u dentysty a zachowaniem naturalnych zębów. Jeśli chcesz mieć pewność, że masz pełną jamę ustną i zdrowe zęby, odwiedź dentystę
Innym powodem zaplanowania wizyty kontrolnej u dentysty jest upewnienie się, że nie odczuwasz bólu zęba ani infekcji. Bez profilaktycznej opieki stomatologicznej jesteś narażony na większe ryzyko próchnicy, infekcji i chorób dziąseł.
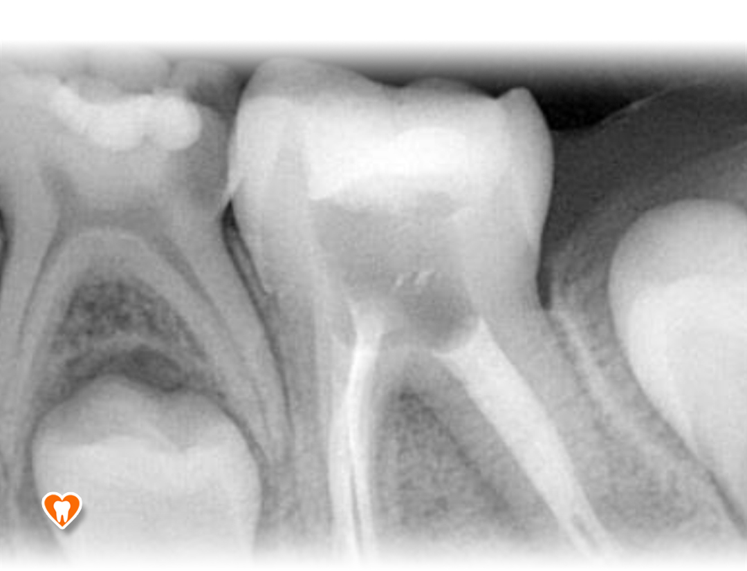
Zdjęcia radiologiczne:
• Pantomograficzne:
Jest to zdjęcie przeglądowe przedstawiające ogólny stan wszystkich zębów, zawiązków zębów oraz struktur je otaczających takich jak kości szczęki i żuchwy, stawy skroniowo-żuchwowe i częściowo zatoki szczękowe,
• Cefalometryczne
Zdjęcie to umożliwia bardzo dokładną diagnostykę wad ortodontycznych oraz precyzyjne planowanie leczenia ortodontycznego. Jest metoda obrazowania części twarzowej czaszki, która uwidacznia zarówno struktury kostne, jak i skórę badanego.
• Punktowe
wykorzystywana jest w leczeniu próchnicy zębów oraz stanów zapalnych miazgi zęba i tkanek okołowierzchołkowych korzeni zębów. Charakteryzują się najwyższą rozdzielczością ze wszystkich badań radiologicznych.Prześwietlenie zęba daje dokładny obraz przebiegu korzeni zęba, ilości i stopnia zakrzywienia kanałów oraz wykrycia próchnicy na powierzchniach stycznych - niewidocznych podczas rutynowego badania stomatologicznego.
W naszym gabinecie, dzięki zastosowaniu najnowszych urządzeń do radiowizjografii firmy Carestream, dostosowujemy indywidualnie do każdego pacjenta dawkę promieniowania, niezbędną do wykonania zdjęcia, jednocześnie minimalizując ją, aby każdy pacjent był bezpieczny.



Leczenie nakładkowe to leczenie ortodontyczne polegające na przesuwaniu zębów za pomocą przeźroczystych nakładek, aby zapewnić funkcjonalny i estetyczny uśmiech, który pokochasz. Te zdejmowane przezroczyste nakładki dobrze przylegają do zębów i można je nosić przez 22 godziny każdego dnia – wyjmując do posiłków i czyszczenia. Każda nowa nakładka stopniowo przesuwa Twój uśmiech, aż do uzyskania efektu końcowego. Prostowanie zębów nigdy nie było szybsze, łatwiejsze i bardziej dyskretne! Nasz zespół ukończył obszerne szkolenie w zakresie terapii nakładkami i pomógł ponad kilkuset zadowolonym pacjentom wyprostować zęby dzięki tej technologii.
Już niedługo więcej informacji...
1.Skaling- jest to zabieg polegający na usunięciu zmineralizowanej płytki bakteryjnej, gromadzącej się w okolicy przydziąsłowej, w przestrzeniach międzyzębowych i na powierzchniach uzupełnień protetycznych.
Skaler, dzięki użyciu fal ultradźwiękowych o odpowiedniej częstotliwości, wykorzystująć zjawisko kawitacji, rozbija twardą strukturę kamienia.
2.Root planing-zabieg ten polega na oczyszczeniu i wygładzeniu poddziąsłowych powierzchni korzenia. Celem zabiegu jest usunięcie drobniejszych resztek kamienia, oraz zainfekowanego bakteriami cementu korzeniowego.
3.Piaskowanie- jest to zabieg polegający na usunięciu z powierzchni zęba przebarwień egzogennych powstałych na skutek: picia kawy, herbaty, palenia papierosów oraz stosowania płukanek leczniczych. Piaskowanie jest metodą oczyszczania powierzchni zębów podczas leczenia aparatami stałymi. Umożliwia utrzymanie prawidłowej higieny jamy ustnej w trakcie całego leczenia ortodontycznego jak i również po. Dzięki temu zabiegowi można perfekcyjnie ocenić kolor prac protetycznych oraz dobrać kolor wypełnienia w trakcie leczenia zachowawczego. Utrzymywanie prawidłowej higieny jamy ustnej, zwiększa szansę wykrycia demineralizacji szkliwa.
4.Polishing- jest nieodłącznym etapem każdej higienizacji. Dzięki połączeniu pasty polerującej, o gradacji ziaren mniejszej niż 15 RDA i gumki polerskiej pozwala osiągnąć efekt wygładzenia szkliwa. Zmniejsza to tendencję do ponownego odkładania się złogów kamienia i osadów.
5.Fluoryzacja- wykorzystywana w celach profilaktycznych, do wzmocniania i remineralizacji uszkodzonych struktur zęba.
Szkliwo zbudowane jest z kryształów dwuhydrokstyapatytów, które pod wpływem działania kwasów pochodzących z pożywienia, ulega rozpuszczeniu. Jony fluorkowe, wbudowują się w szkliwo, tworzą fluoroapatyt, wzmacniając je. Światowa Organizacja Zdrowia zaleca wykonywanie fluoryzacji 2 razy w roku.
6. Instruktaż higieny jamy ustnej
Bardzo ważne jest aby pacjent dbał o higienę jamy ustnej również w domu. Regularne szczotkowanie zębów co najmniej 2 razy dziennie jest bardzo ważne dla zachowania zdrowia zębów i tkanek przyzębia.
Indywidualnie dopasowana metoda szczotkowania zębów, pozwoli utrzymać uzyskany efekt po zabiegu higienizacji.
Leczenie kanałowe (endodoncja) koncentruje się na wnętrzu zęba. Wewnątrz każdego zęba znajduje się pusta przestrzeń zajmowana przez miazgę zęba, która pomaga zębom wykrywać ciepło i zimno i zasadniczo utrzymuje ząb „przy życiu”.
Ząb wymaga leczenia kanałowego, jeśli miazga zęba ulegnie zakażeniu lub umrze. Oznaki i objawy zęba wymagającego leczenia kanałowego mogą obejmować ból, ropnie i obrzęk.
W wielu przypadkach objawy mogą nie być widoczne, dlatego tak ważne jest regularne odwiedzanie dentysty.
Są przeszkoleni w rozpoznawaniu znaków ostrzegawczych, których możesz nie zauważyć!
Przegląd procedury Leczenie kanałowe polega na utworzeniu małego otworu w zębie, usunięciu przez ten otwór martwej lub zakażonej miazgi, a następnie ponownym uszczelnieniu zęba. Twój dentysta rozpocznie od znieczulenia zęba i jego okolic.
Izoluje ząb za pomocą koferdamu, czyli małego arkusza lateksu zaprojektowanego tak, aby utrzymać ząb w czystości i wolne od wszelkich zanieczyszczeń.
Za pomocą wiertła tworzą na powierzchni zęba mały otwór, który umożliwia lekarzowi usunięcie miazgi zęba i oczyszczenie wnętrza zęba pilnikiem dentystycznym.
Pilniki te wyglądają jak szpilki, ale dzięki znieczuleniu miejscowemu nie powodują bólu! Dentysta będzie okresowo przepłukiwał jamę roztworem czyszczącym, aby upewnić się, że wszelkie zanieczyszczenia zostały usunięte.
Proces czyszczenia i piłowania poszerza ubytek, pozostawiając miejsce na materiał wypełniający, który uszczelnia kanał korzeniowy. Dentyści używają do tego naturalnej gumowatej substancji zwanej gutaperką.
Po wypełnieniu kanału, na wierzchu zostanie umieszczone tymczasowe wypełnienie.
To ochroni Twój ząb przed uszkodzeniem do czasu pojawienia się na kolejnej wizycie w celu trwałego uszczelnienia zęba. Czekając na ostateczną odbudowę, należy traktować ten ząb ze szczególną ostrożnością i ostrożnością. Unikaj używania tego zęba tak często, jak to możliwe i uważaj, jakie pokarmy jesz.
W większości przypadków zabieg kanałowy usuwa taką ilość materiału zęba, że do odbudowania zęba konieczna jest korona dentystyczna.
Wypełnienia mogą sprawdzić się w łagodniejszych przypadkach, ale tylko w przypadku zębów przednich. Wypełnienie nie jest w stanie wytrzymać wystarczającego nacisku, aby utrzymać razem ząb trzonowy poddany leczeniu kanałowemu.
Po założeniu uzupełnienia stałego należy dbać o swój ząb tak samo jak o wszystkie inne.
Chociaż korona lub wypełnienie zapewni Twojemu zębowi doskonałą wytrzymałość i wsparcie strukturalne, rygorystyczna higiena jamy ustnej jest nadal konieczna, aby zapewnić powodzenie leczenia kanałowego.
Jako dentyści naszym celem jest pomóc Ci prowadzić zdrowe życie ze wszystkimi oryginalnymi zębami. Są jednak chwile, kiedy nie jesteśmy w stanie uratować zęba.
Czasami konieczne jest usunięcie zęba z powodu stłoczenia, choroby lub urazu. Bez względu na przyczynę, przy wszystkich ekstrakcjach zębów stosujemy podejście zachowawcze.
Chociaż tytuł „chirurgia jamy ustnej” brzmi poważnie, większość operacji i ekstrakcji jamy ustnej to procedury rutynowe. Nasz doświadczony lekarz przeprowadzi zabieg z fachową umiejętnością, aby zapewnić najbardziej komfortowy powrót do zdrowia i najlepszy możliwy wynik.
Chirurgia jamy ustnej to wysoce wyspecjalizowana dziedzina stomatologii. Dzięki przeszkoleniu z innymi lekarzami chirurdzy jamy ustnej mogą wykonywać zaawansowane procedury, których nie mogą wykonać stomatolodzy ogólni.
Czasami konieczne jest usunięcie zęba. Może się to zdarzyć z różnych powodów. Ekstrakcje są powszechnie wykonywane w przypadkach, gdy mleczny ząb „młody” niechętnie wypada, występuje poważnie uszkodzony ząb, którego nie da się odbudować lub „ząb mądrości” jest źle umiejscowiony i nie może w pełni wyrosnąć na swoim miejscu.
Aby zmniejszyć niepokój i zapewnić pacjentowi komfort, gdy konieczna jest ekstrakcja zęba, procedura, instrukcje pooperacyjne, a także wszelkie dalsze zabiegi odtwórcze zostaną dokładnie i całkowicie wyjaśnione.
Rozważając możliwości wymiany zębów, być może zadawałeś sobie pytanie: „Czym są implanty dentystyczne i czy są dla mnie rozwiązaniem?” Cóż, implanty dentystyczne to sztuczne korzenie zębów, które stanowią trwałą podstawę dla stałych, zastępczych zębów. W porównaniu do protez, mostów i koron, implanty dentystyczne są popularnym i skutecznym długoterminowym rozwiązaniem dla osób cierpiących na braki w uzębieniu, braki w uzębieniu lub przewlekłe problemy stomatologiczne. Ponieważ pasują, czują się i funkcjonują jak naturalne zęby, implanty dentystyczne szybko stają się nowym standardem w zastępowaniu zębów.
Co sprawia, że implanty stomatologiczne dają poczucie pełnego komfortu i bezpieczeństwa? Lekarze używają tytanowego implantu, który z biegiem czasu faktycznie łączy się z żywymi komórkami kości szczęki. Związek ten tworzy mocną i trwałą kotwicę dla nowych zębów, co oznacza, że nie dochodzi do poślizgu ani innego ruchu .Nie ma też problemów z jedzeniem z implantami stomatologicznymi, nie trzeba ich regularnie naprawiać i nie trzeba martwić się o swobodne i otwarte uśmiechanie się.
Implanty dentystyczne zazwyczaj składają się z trzech części:
Implant: Śruba, która służy jako korzeń dla nowych zębów. To jest to, co trwale przyczepia się do twojej szczęki.
Łącznik: stały, ale usuwalny przez lekarza łącznik, który podtrzymuje i utrzymuje ząb lub zestaw zębów.
Korona (lub ząb protetyczny): Jest to część zęba, którą widać. Zwykle jest wykonany z cyrkonu lub porcelany, co zapewnia trwałość i dobry wygląd.
Implanty dentystyczne mogą zastąpić pojedynczy ząb, wiele zębów lub cały górny i/lub dolny zestaw zębów. Jeśli potrzebujesz odbudować pełny łuk, możesz być idealnym kandydatem do zabiegu wymiany zębów pełnych w jamie ustnej.